¿Alguna vez has oído hablar de la reflexología podal? ¿Sabías que los órganos de nuestro cuerpo se reflejan en el...
¿Alguna vez has oído hablar de la reflexología podal? ¿Sabías que los órganos de nuestro cuerpo se reflejan en el...
¿Las plantillas son para el verano?
Aunque el planteamiento de esta pregunta ya nos permite intuir que la respuesta es afirmativa, se puede asegurar que el...
Reconstrucción de uñas, todo lo que debes saber. Spoiler: En una sesión lo tienes arreglado.
[vc_row css_animation="" row_type="row" use_row_as_full_screen_section="no" type="full_width" angled_section="no" text_align="left" background_image_as_pattern="without_pattern"][vc_column][vc_column_text css=""]El Nail Art ya mueve casi 9000 millones de € en la...
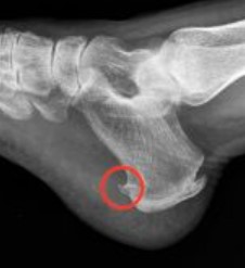
Qué es el espolón calcáneo: Principales causas y sus tratamientos
¿En alguna ocasión has sentido un fuerte dolor en el talón al apoyarlo en el suelo? Probablemente te has preguntado...
La hiperqueratosis y cómo solucionar las durezas en los pies
Las durezas en los pies son un problema muy común y que puede producir molestias o incluso ir acompañadas de otras lesiones....
Manchas blancas en las uñas de los pies: Causas y tratamientos
Descubre las causas y tratamientos para las manchas blancas en las uñas de los pies. Aprende cómo prevenir hongos y...
Plantillas de fibra de carbono
Cada día vemos numerosos deportistas en nuestra consulta de podología deportiva en Málaga, y lo primero y lo más importante...
8 recomedaciones del podólogo si practicas deporte de invierno
Con la llegada del invierno son muchas las personas aficionadas al deporte las que comienzan a practicar los llamados deportes...
7 recomendaciones del podólogo deportivo Málaga antes de la Maratón
Se acerca la Maratón de Málaga 2016, una prueba para la que muchos corredores se llevan entrenando duro y de la...
4 tratamientos de podología para el Neuroma de Morton
[vc_row css_animation="" row_type="row" use_row_as_full_screen_section="no" type="full_width" angled_section="no" text_align="left" background_image_as_pattern="without_pattern"][vc_column][vc_column_text css=""]En nuestra clínica de podología en Málaga vienen muchas personas que sufren Neuroma...